Vì sao bị cúm nặng có thể gây “phổi trắng”?
Theo các bác sĩ, "phổi trắng" là dấu hiệu cho thấy phổi bị tổn thương nghiêm trọng, thường gặp ở một số ca cúm nặng gần đây.
| Có nên dùng kháng sinh khi bị cúm? Bị cúm có nên dùng điều hòa không? Những lưu ý giúp người có bệnh nền tim mạch vượt qua mùa cúm |
Cúm là một bệnh nhiễm trùng đường hô hấp do virus cúm gây ra, với các triệu chứng phổ biến như sốt, ho, sổ mũi, đau đầu và mệt mỏi. Bệnh rất dễ lây lan và có thể ảnh hưởng đến mọi đối tượng. Tuy nhiên, một số nhóm có nguy cơ cao gặp biến chứng nghiêm trọng, thậm chí tử vong, bao gồm trẻ em dưới 5 tuổi, phụ nữ mang thai, người cao tuổi trên 65 tuổi, người mắc bệnh lý nền và người suy giảm miễn dịch (như bệnh nhân ung thư, HIV/AIDS).
Ở những đối tượng này, cúm có thể làm trầm trọng thêm bệnh nền hoặc dẫn đến các biến chứng nguy hiểm như hội chứng suy hô hấp cấp tính, viêm phổi do virus cúm nguyên phát hoặc viêm phổi do vi khuẩn thứ phát. Tại Việt Nam, các chủng virus cúm mùa thường gặp gồm cúm A/H3N2, A/H1N1 và cúm B.
Bệnh cúm có thể gây ra nhiều biến chứng nghiêm trọng như viêm phổi, viêm tai giữa, viêm xoang, viêm não, viêm cơ tim, suy đa tạng, viêm phế quản, viêm da và các vấn đề về tiêu hóa…
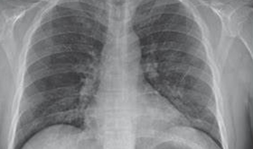
![]() |
| Hình ảnh "phổi trắng" trên phim X-quang. |
Tại Việt Nam, số ca mắc cúm đang gia tăng, trong đó nhiều bệnh nhân nhập viện trong tình trạng nặng, tổn thương phổi nghiêm trọng với hình ảnh "phổi trắng" trên phim X-quang. Theo bác sĩ Phạm Văn Phúc, Phó Trưởng khoa Hồi sức tích cực, Bệnh viện Bệnh Nhiệt đới Trung ương, đây là dấu hiệu đặc trưng của đợt cúm năm nay.
Một bệnh nhân nam 59 tuổi bị suy hô hấp nặng, phổi mất chức năng thông khí, hôn mê do biến chứng cúm A và phải can thiệp ECMO. Bác sĩ cho biết phổi của ông đã bị tổn thương tới 90%, dẫn đến sốc nhiễm khuẩn nghiêm trọng, làm CO2 tích tụ trong máu, gây tình trạng "phổi trắng".
Trường hợp khác, một bệnh nhân 66 tuổi có tiền sử bệnh phổi tắc nghẽn mạn tính, phải phụ thuộc hoàn toàn vào máy thở. Ban đầu, ông nhập viện với các triệu chứng giống cảm cúm thông thường như sốt, ho, khó thở. Tuy nhiên, chỉ sau hai ngày, tình trạng diễn tiến nghiêm trọng, phổi bị tổn thương 50-60%, trắng xóa trên phim X-quang.
Tiến sĩ - bác sĩ Bùi Phạm Minh Mẫn, Bệnh viện Đại học Y Dược TP.HCM - cơ sở 3, cho biết "phổi trắng" là thuật ngữ y khoa dùng để mô tả hình ảnh X-quang hoặc CT scan của phổi bị tổn thương nghiêm trọng, xuất hiện dưới dạng vùng trắng mờ do dịch viêm tích tụ. Hiện tượng này thường gặp ở những bệnh nhân nhiễm cúm nặng, đặc biệt do virus cúm A/H5N1, cúm A/H1N1 hoặc cúm B gây biến chứng.
Theo các chuyên gia hô hấp, tình trạng "phổi trắng" khi nhiễm cúm thường là hậu quả của hội chứng suy hô hấp cấp tính (ARDS) – một biến chứng nghiêm trọng do phản ứng viêm quá mức của cơ thể trước sự tấn công của virus. Khi virus cúm xâm nhập, hệ miễn dịch phản ứng mạnh mẽ, làm tổn thương hàng rào phế nang - mao mạch, khiến dịch viêm tràn vào phế nang, làm suy giảm nghiêm trọng khả năng trao đổi khí của phổi.
![]() |
| Tình trạng "phổi trắng" khi nhiễm cúm thường là hậu quả của hội chứng suy hô hấp. |
Ngoài ra, một số cơ chế khác có thể dẫn đến tình trạng "phổi trắng" khi nhiễm cúm, bao gồm:
Bội nhiễm vi khuẩn: Cúm làm suy giảm miễn dịch tại đường hô hấp, tạo điều kiện cho vi khuẩn như Streptococcus pneumoniae, Staphylococcus aureus xâm nhập, gây viêm phổi nghiêm trọng hơn.
Tổn thương phổi lan tỏa: Virus cúm tấn công trực tiếp vào tế bào phế nang, làm suy giảm khả năng trao đổi oxy.
Cơn bão cytokine: Một số trường hợp nhiễm cúm nặng kích hoạt phản ứng viêm quá mức (cytokine storm), khiến mô phổi bị tổn thương nhanh chóng, dẫn đến suy hô hấp cấp.
Những nhóm có nguy cơ cao gặp biến chứng này bao gồm người cao tuổi, người mắc bệnh nền (đái tháo đường, tim mạch, COPD, suy giảm miễn dịch), phụ nữ mang thai và trẻ nhỏ. Khi xuất hiện các dấu hiệu như khó thở, tím tái, sốt cao kéo dài, người bệnh cần nhập viện ngay để tránh nguy cơ diễn tiến nghiêm trọng.
Theo các bác sĩ, "phát hiện và can thiệp sớm là yếu tố quyết định việc cứu sống bệnh nhân trong các trường hợp nặng, do đó, nhóm dễ bị tổn thương khi mắc cúm cần cẩn trọng".
Để phòng ngừa cúm mùa, ngành y tế khuyến cáo mọi người nên tiêm vaccine cúm hằng năm, đặc biệt là những nhóm có nguy cơ cao như trẻ nhỏ, người cao tuổi và người mắc bệnh nền. Ngoài ra, các biện pháp như đeo khẩu trang ở nơi đông người, rửa tay thường xuyên, che miệng và mũi khi hắt hơi cũng rất quan trọng trong việc hạn chế lây lan virus. Duy trì lối sống khoa học, chế độ dinh dưỡng đầy đủ và nghỉ ngơi hợp lý sẽ giúp tăng cường sức đề kháng, hỗ trợ cơ thể chống lại dịch bệnh hiệu quả hơn.
Khi có các triệu chứng nghi ngờ cúm như sốt cao, ho, đau đầu, đau ngực, người bệnh nên nghỉ ngơi tại nhà, uống đủ nước và theo dõi tình trạng sức khỏe. Nếu xuất hiện dấu hiệu nặng như khó thở, đau tức ngực, lơ mơ hoặc tím tái, cần đến cơ sở y tế ngay để được kiểm tra và điều trị kịp thời, tránh nguy cơ biến chứng nguy hiểm.

